Attorney Bakaj claims Gabbard delayed a whistleblower complaint's referral to Congress. Gabbard's office denies, citing complex review due to classified content.
Posts published in “Virginia News”
On February 2, 2026, Mercury's alignment with Chiron fosters healing conversations, encouraging cooperation and understanding to mend past misunderstandings.
On February 1, 2026, the Moon-Pluto opposition urges introspection and balance, with a Leo Full Moon at 5:09 pm EST enhancing creativity and authentic expression.
UVA admits 7,151 in early action for Class of 2030, marking a record. Offers include 3,071 Virginians and 4,080 out-of-state students from 57,500 applicants.
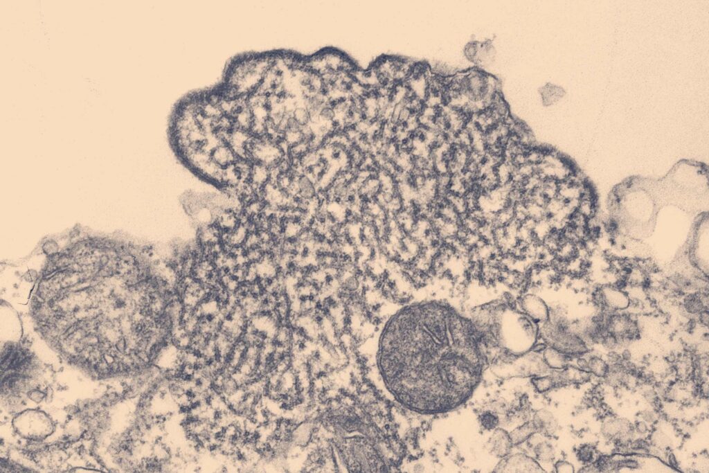
The bat-borne Nipah virus, with up to a 75% fatality rate, has triggered heightened screening in Asia. It spreads via fruit bats and lacks a vaccine or cure.
As younger viewers drift, the NFL uses animated broadcasts and interactive ads to engage Gen Z and Gen Alpha, aiming to boost sports viewership.[embed]https://www.youtube.com/watch?v=-fL8PrrkZE0[/embed]
Polly Cooper, a heroic Oneida woman, is featured on the 2026 Sacagawea $1 coin for her pivotal aid to Washington's starving army at Valley Forge in 1778.
After NFL, Benkert's beach football idea led to a $4M venture, The Dime Lab, thanks to social media, manufacturing ties, and a unique product design.
Trump threatens a 50% tariff on Canadian aircraft in retaliation for Canada's refusal to certify Gulfstream jets, escalating trade tensions further.
Wilson, a UVA alum, founded a nonprofit to boost Black women's STEM success globally, impacting thousands and earning Forbes 30 Under 30 recognition.





![Engaging Younger Audiences: Sports Innovate with Interactive Broadcasts[embed]https://www.youtube.com/watch?v=-fL8PrrkZE0[/embed] Engaging Younger Audiences: Sports Innovate with Interactive Broadcasts[embed]https://www.youtube.com/watch?v=-fL8PrrkZE0[/embed]](https://realnewsfast.com/wp-content/uploads/2026/02/Engaging-Younger-Audiences-Sports-Innovate-with-Interactive-Broadcastsembedhttpswwwyoutubecomwatchv-fL8PrrkZE0embed-1024x683.jpg)



